当院の膝の痛み専門の施術は
なぜ?こんなにも効果が
実感できるのか?

こんなお悩み
\ございませんか?/
- 膝に水が溜まる
- 膝周囲が熱を持っているような感じ
- 膝が腫れている
- 股関節が引っかかってまともに歩けない時がある
- レントゲンを撮ってもらうが、「軟骨が減っている」と言われ、湿布を出されただけ
- 病院では「歳だから治らない」といわれたが何とかしたい!
- 家事もしなければならないし、親の面倒も看ないといけない
- 足を伸ばした状態で寝ていると痛みが出てきて安眠できない
- 階段が辛く、外へ出るのが億劫である
- 将来、人工関節しかないと言われたが手術以外の方法で何とかしたい
そのお悩みお任せ下さい!
膝の痛みの専門家が
責任を持って施術します!








\ お客様の喜びの声/
寝れないくらいの膝の痛み、今はホノルルマラソンに挑戦を考えています!

30歳を超えたくらいから膝の痛みが始まり、酷い時は、痛みで寝れない状況でした。
そんな時、上司に箕面 健寿の森整体院さんを紹介して頂きました。
行く前は「合う合わないがあるけど、良くなる可能性もあるし、どう?」と言われていたので、不安でしたが、回数を重ねる度に、野球で学んだ体の構造理論と重なり理解しやすかったです。
最近では、痛む頻度が減り、痛みがとれるまでの時間が短くなりました。
このまま続けて、諦めていた「夢」のホノルルマラソンにチャレンジ出来ることを目標に、自分でも努力を続けます。
引き続き、サポートをお願いします!
(男性 膝の痛み)
※個人の感想であり、成果や成功を保証するものではありません
健康の大切な情報を教えていただき、本当にラッキーでした。

梶先生に初めてお会いしたのは約3か月前のこと、左ひざが痛くなり大好きなダンスが思い切り踊れなくなってきて困ってのことでした。
梶先生はお会いしたその日に信頼できる先生だとわかりました。なぜならば、先生の出す宿題をできないと思うならその方のことは診れません、とはっきり自信をもって言ってくださったからです。
体の痛みにはいろいろな原因があると思いますが、自分で何の努力も改善もせず、魔法の手に押してもらったり触ってもらっただけで痛みがとれるなんて絶対あり得ないと思っていましたから、先生の言葉にはとても共感しました。
働く主婦なので宿題をこなすのは最初は少し大変でしたが、今は毎日の日課となって雨などで歩けない日は落ち着かないくらいです。
歩き方、立ち上がり方、座り方、立ち方など日常生活の様々なちょっとした動きを正しく直していくことでひざの痛みが少しずつ改善していきました。この少しずつというのもすごくいいと思っています。
痛みがとれてきただけでなく体全体の調子が良く、リズムもいいです。
少しでも長く踊っていたいですし、最後まで自分の足で歩いていたいですね。
梶先生にお会いできて教えていただいたことは、誰もが知っておくべき健康に生きていくための基本情報です。でもほとんどの人がそれを知らないんです。
私はこの基本情報を教えていただいて本当にラッキーでした。
体の痛みなどで困っておられる方は、是非梶先生に会いに行かれたらいいと思います。
痛みが取れていくし体全体の調子も良くなること間違いないです。
(女性 膝の痛み)
※個人の感想であり、成果や成功を保証するものではありません
正しい身体の使い方を知り、本当に身体が楽になりました。

30数年間、腰と膝の痛みに悩まされ整形、整体、鍼と渡り歩きブロック注射、ヒアルロン酸と色々試しましたが全く改善することはありませんでした。
そうこうしているうちに背中に痛みを感じるようになり、整形に行くと側湾症と言われました。
身体全体が痛み、朝開口一番出る言葉が〝痛い〟でした。病院に行っても「様子を見ましょう」
…整体に行っても施術した時だけ痛みが消え、時間が経つとまた痛みが出るという日々でした。
藁にもすがる思いでネットで検索して「箕面 健寿の森整体院」さんに出会いました。
初めは半信半疑でしたが、先生から身体の話しを詳しく聞き納得‼︎
今までの私生活を反省するばかり、先生の教え通り歩き方、立ち方、座り方を実践することで身体に変化を感じるようになりました。
背中の痛み、股関節の痛みが軽減されました。結果、長く歩くことが出来るようになりました。
他力本願でなく、自分の身体は自分で…毎日、教えて頂いたことを実践!この積み重ねが大事なんですね。自分では気付かなかったことに気付かせて頂きありがとうございました。
今までに無かった施術ですね。「健寿の森独特の施術法かな?」本当に身体が楽になりました。
これからもずーっと教えを守り実践して行きたいと思います。
聞き上手の先生です。痛みのある方、一度来訪してみては…お薦めです。
(女性 腰痛・膝の痛み・側湾症)
※個人の感想であり、成果や成功を保証するものではありません
長年の悪い癖を先生のお陰で改善していける整体院です。

膝が痛くて訪問しました。
60歳を過ぎているので、あちこち痛むのは仕方がないと思っていました。でも、痛みが無い方が良いに決まっています。半信半疑で箕面 健寿の森整体院さんに伺いました。
先生は自分の姿勢を正す事から始まる、改善する力は自分の事として頑張れる?という所からお話が始まりました。
色々な方法を教わり、気がつけば膝、腰、肩、首、何となく楽になっています。長年の悪い癖を先生のお陰で改善していける整体院です。これからも長く使う身体を整えるために、これからもお世話になります。
(女性 膝の痛み)
※個人の感想であり、成果や成功を保証するものではありません
先生の説明は非常に論理的でわかりやすく、楽しくお話しながら施術を受けています。

以前から股関節、膝に痛みを感じ、接骨院で鍼やマッサージでの施術を続けましたが、一向に回復せず悩んでいました。そんな時ネットで自宅近くの箕面 健寿の森整体院を見つけ、早速電話で問い合わせしました。
施術内容を確認したところ、身体の歪みを自身で整えるといったものでした。私が抱いていた整体のイメージは、整体師が歪んだ関節や骨を外的な力で強引に整えるというものでしたが、根本を正すことによって一時的ではなく、今後通院する必要がなくなるような体作りをサポートするという考え方に興味を持ち通院を始めました。
先生の説明は非常に論理的でわかりやすく、細かい質問に対しても的確に回答してくださるので不安もなく、毎回楽しくお話しながら施術を受けられております。
(女性 股関節痛・膝の痛み)
※個人の感想であり、成果や成功を保証するものではありません
なぜ?当院の施術は
こんなにも膝の痛みが
改善されるのか?
膝の痛みが他で治らない理由

変形性関節症の原因に隠されていた真実とは?
あなたは、関節痛の原因を誤解していませんか?
骨が変形するから痛い
軟骨がすり減るから痛い
膝の痛みには、この二つの常識が正しいとされ医療機関はもちろんのこと、世間一般にも広く浸透しています。
しかし、本当は骨は変形しても痛くないし、軟骨はすり減っても痛くありません。
実は、レントゲンから分かる情報はあくまで関節の現状が分かるのみで、骨の変形そのものが痛みの原因ではありません。
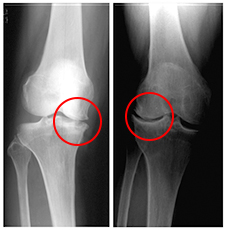
下の画像をご覧ください。


この画像は、整形外科でレントゲン撮影を行い変形性関節症と判断されたものです。
○の部分にご注目ください。
関節軟骨は減り、骨も変形し始めているのが確認できます。
しかし、この時点でお客さんの膝に痛みはありません。
「変形性関節症」 確かにそうです。
画像を見る限り、誰もがそのように判断するのは間違いないでしょう。
だからと言って、骨の変形=痛み、軟骨のすり減り=痛み ではないのです。
確かに、骨の変形は進行していくと可動域が狭くなり、日常生活に支障が出てきますので無視していいというわけではありませんが、痛みとは切り離して考えなければいけません。
骨の変形や軟骨のすり減りは、一日を通して変化がありませんが、痛みには変化があります。
骨の変形はそのままなのに、なぜ痛みには変化があるのか突き詰めていけば痛みの真実が見えてきます。
偽の手術で膝の痛みが改善!?
多くの医療機関では、膝の手術が痛みを改善させる有効な手段として実施されています。
しかし、この手術(関節鏡視下手術)が本当に有効なのか、一人の医師がその検証に乗り出しました。
その医師の名は、モーズリー博士。
膝痛のお客さんを三つのグループに分けて、
一つ目のグループは、これまで通り軟骨をきれいに削る手術を行いました。
二つ目のグループは、軟骨を削らず膝関節内の洗浄のみ行いました。
三つ目のグループは、皮膚を切るだけで関節内の手術はしませんでした。
それぞれのグループのお客さんたちは、どんな手術を受けたか知りません。
その後の追跡調査でどうなったかといいますと、全てのグループの改善率が同じでした。
これまでは、手術を施すことで痛みが改善されると思われていたのですが偽手術を行ったグループにも改善が見られたのです。
関節内には何もしていないにもかかわらず。
なぜ、このような結果になったのでしょうか?
それは、手術という行為が最高のプラシーボ効果を生むからです。
手術で痛みが改善されると信じられていたものは、実は手術行為ではなく、自身の心がそうさせていたのです。
手術を受けた「安心感」が心の不安(痛み)を取り除いていたのです。相手が名医と呼ばれる先生ほどその効力は発揮されます。
では、心の状態のみで全ての痛みが改善するのかと言えばそんなことはないでしょう。
それでは、次は膝痛に隠されたもう一つの面を詳しく見ていきましょう。
レントゲンに写らないところに痛みの原因がある
膝痛は「骨の変形が原因」とされるのが一般的ですが、そもそも「なぜ、骨が変形してしまったのか?」
これについて、考えたことはありますか?
骨は理由もなく変形することはありません。
骨が変形するからにはそれ相当の負荷があったと考えられます。
となると、その負荷は骨や軟骨以外にも影響していると考えられませんか?
関節は、骨と軟骨だけで構成されているのではなく、筋肉や靭帯、滑膜なども大切な要素です。
これらの組織にも、同様の負荷が加わっていたらどうでしょうか?
骨が変形するほどの負荷なのだから、これらの組織にも影響しているはずです。
では何故、軟骨のすり減りが痛みの原因にはならないのでしょうか?
それは、軟骨には痛みを感じる神経が元々存在しないからです。
これは、髪の毛や爪と一緒で、痛みを感じる神経が無いのだから骨が変形しても軟骨が減っても痛くありません。
ですから、痛みの原因が軟骨にあるというのは、見た目からそのように解釈しただけに過ぎず、生理学的には間違った解釈なのです。
したがって、あなたの関節の痛みが「骨や軟骨の変形によるもの」と判断されていたとしたら、レントゲンには写らない部分のトラブルは見逃されている可能性が非常に高いと言えます。
また、ひざ関節痛の施術として、整形外科ではヒアルロン酸注射をすることがよくあります。
しかし、米国整形外科学会AAOSでは、ヒアルロン酸の関節内注射は推奨されていません。
当然ながら、コンドロイチン、グルコサミン等を含む健康食品に効果がないのは言うまでもありません。
こんな施術は変形性関節症の治りを妨げている
- 湿布を貼る
- 痛み止め、消炎鎮痛剤の服用
- ヒアルロン酸注射
- テーピング、ギブス、サポーター
- マッサージ、ストレッチ
- 電気、レーザー
- 手術(医師から手術が必要だと言われても、痛みが回復する可能性は十分あります)
これらは、病院や接骨院などで勧められる一般的な変形性関節症の施術方法です。
これまで、あなたも行ったことがあるかもしれませんね。果たしてこれらの施術は本当に有効なのでしょうか?
実際に、適切な働きかけをすれば早期に痛みが回復してく変形性関節症に、何ヶ月も、ひょっとしたら何年も悩み続けているのではありませんか。
当院では来院されたすべてのお客さんから、これまでの施術歴を詳細に聞いています。「病院にも、接骨院にも通い、さまざまな施術を試したけど治らず、わらにもすがるような気持ちで来られる方」ばかりです。
つまり、上記のような施術を、医療機関や整骨院などで、数週間も、数か月もつづけたにも関わらず、痛みが思うように改善されなかった方たちです。
当院では多くの変形性関節症のお客さんをみてきて、むしろ上記のような施術を繰り返してきたお客さんほど、慢性化して痛みが回復しにくくなっていることが分かっています。
手術は先ほどお伝えしましたようにリスクがありますし、変形や痛みが100%良くなる保証をお医者さんがしてくれるわけではありません。膝にメスを入れる前にできることがあるはずです。
変形性関節症とは?

変形性関節症と聞いて、真っ先に浮かぶのは“【膝】ではないでしょうか。進行すると歩行困難になり人工関節の適応になります。また、指先の変形性関節症も多いです。これは中年以上の女性に好発します。現代ではこの疾患に悩まされる方が非常に多くいらっしゃいます。そして、完全に治らないと言われている疾患です。しかし、変形性関節症を治癒、防止する方法を当院は知っています。まずは現代医学での本疾患の定義を知っておきましょう。
『変形性関節症は、さまざまな原因により関節の痛みや腫れを生じ、それが続くと関節の変形をきたす病気です。膝や足の付け根、肘、肩などの関節に痛み、腫れなどの症状がみられます。変形性関節症は、年齢が高くなるほど男性よりも女性のお客さんが増えてきます』
現代医学で変形性関節症は、加齢や疲れなどが溜まって関節に変形を起こしていく疾患と定義していますが、実際の所なぜ変形してしまうのかという理由が解っていないのです。ですから、「うまく付き合っていってください。」というスタンスで治す事ができないのです。しかし、当院では“お客さんの『声』でも多いように、手術目前に控えた方でも、早くて三カ月ぐらいで随分と回復していきます。
変形性関節症の原因

変形性関節症の痛みや変形を引き起こす本当の原因は何でしょうか?
それを知るためには骨を含め、人間の組織が何からできているかを知っておく必要があります。
人間の皮膚や筋肉は蛋白質で出来ています。骨もカルシウムという認識の人が多いと思いますが、実は骨の8割はタンパク質で、2割がカルシウムです。
タンパク質は卵の白身を想像していただければ解りやすいと思いますが、非常に熱に弱い物質です。温泉卵であるように、40度以上あるお湯に浸からせれば、10分ぐらいで白濁して組成が“変性”して形を変えて固まってしまいます。
これはタンパク質の熱変性と呼ばれる現象です。
人間の関節も同じように、熱を加え続けると関節を構成する上下の骨がドロ~ッと徐々に融け始め形を変えて行き、変形性関節症が出来上がります。
関節の炎症
また膝の痛みで病院に行った時に『関節に炎症が起きている』と言われたことはありませんか?
まず、痛む場所は炎症を起こしています。痛む関節や筋肉、腱は、〜関節炎〜腱鞘炎など“炎”という字がつきます。【炎症】は字のごとく燃えているわけで、熱を帯びていることがほとんどです。
当たり前ですが燃えているなら消さなければなりませんし、熱を持っているなら冷やさなければなりません。
このように「痛み」や「変形」の主たる原因は炎症反応の”熱”によるものであることがお分かりになると思います。
先ほどのレントゲン写真を見てみるとハッキリと白く写ってるのが分かります。白く映るところは【炎症】が起こっている場所です。
参考に肺炎の画像も載せておきます。


さて、なぜ熱が関節に貯留するかを考えてみましょう。本当に関節を酷使し過ぎたから膝が痛くなるのでしょうか。お相撲さんでも痛みなど無くピンピンしている人もいるし、70代でフルマラソンを走りきる方も膝が痛んだことなどないと話す方もいます。
つまり現代医学で定義している【老化や使い過ぎが膝の炎症を起こす原因】とは到底言える事ができないのです。
原因は“腰や膝関節のゆるみ”
私たちは、この原因を“腰や膝関節のゆるみ”と考えています。
関節の動きにルーズさが起こると関節にガタが生じ、動かすたびに摩擦抵抗を起こしていきます。
ちょうど、うまく開かない引き戸を想像するといいでしょう。
引き戸の滑車の滑りが悪いと、上手にレールを滑らず摩擦が発生しますね。その動きの悪さが膝で起こっていると想像していください。
当然ながら“摩擦は熱”を生みます。その熱が血行や汗で捨てきれない場合、今度は膝に水を集めて冷やそうとします。これは膝関節水腫(水が溜まる)の状態です。それでも除熱が追いつかない場合に、関節を侵し骨を融かしはじめます。この姿が“変形性関節症”なのです。
病院で炎症といわれてるにも関わらず、痛み止め(消炎鎮痛剤)と冷シップを処方して、リハビリで赤外線やホットパックで温める?という矛盾が起こっていることに少し冷静に考えれば気付くはずです。
ここで加熱を加えれば火に油を注ぐことになります。
しかしお客さんはお医者様に言われた事は全て正しいと考えます。
こうやって自身も温泉やホッカイロなどで真面目に加熱を続けた結果、先ほど話したように熱が捨てきれなくなるので、更に水を膝に集めて冷やそうとします。しかし、冷やそうとして集まった水を今度は注射器で抜いてしまいます。注射で水を抜くと一時的に楽になりますが、熱をとるものが無くなってしまうため炎症が進んで慢性的になってしまいます。そうなると冷やす物が無くなってしまいますので、徐々に骨が融け始めます。この時はものすごい痛みを伴います。痛みが強いから病院に行く頻度が高くなり、相変わらず温熱療法を繰り返し、ついには骨の変形が限界をむかえ手術の適応と宣言われます。
初期の段階ですぐに冷やすことが出来れば、痛みがいつまでも長引く事はありませんが、残念な事にこういった事例はとても多いのが現状です。
膝の痛みへの当院の改善法

改善させるために当整体院で行う基本方針は3つです
①炎症が引くまでしっかり冷却する。
炎症=熱=痛み・変形ですから、安全で効果的な冷却方法で炎症が引くまで冷やします。
よく「温めた方が血行も良くなり痛みも引くんですが」と言われることがあります。
◆温めると血行が早くなるのは、熱を捨てたいからです。
確かに温めると血行が盛んになります。しかし、それは余剰な熱を外に捨てたいからなのです。人は36.5℃前後の平熱を保つように出来ています。それよりも1〜2℃高いだけで調子を崩し、40℃を超えると組織を破壊してしまいます。
血行が早くなるのは、ただでさえ炎症している患部に余剰な熱が加わり、大慌てで熱を捨てている様子を表しているのです。
一方、冷やす方には細胞レベルで±0℃まで冷やしても安全性が確認されています。
◆温めると冷やす、どちらも鎮痛効果がありますがその内容は大きく異なります。
温めても冷やしても鎮痛効果があります。温めて鎮痛効果が得られる理由は原因でもお伝えした通り、人間の組織はタンパク質で出来ているからです。
それは神経組織も同様です。
神経も40度以上の加熱を続けていれば、破壊が始まり温度や痛みに対する感覚が鈍くなり痛みが緩和したように思えます。
ですが実際のところは「気持ちがいいから」と加熱を続けることは細胞の破壊を加速させているのです。(カイロでの低温やけどがこれに該当します)
上記のように、温めて鎮痛効果を得られても、冷めてきた時には熱破壊によってさらに痛みを増し、炎症を長引かせます。
一方、冷やす方は熱をスムーズに捨てられ、細胞は新鮮さを保ち、温度が戻ってきた時には本当の意味で回復を促した事になります。
もう少し分かりやすいように身近なところで言いますと、生肉や鮮魚の組成もタンパク質からできています。
生肉や魚をスーパーで買ってきたらどうしますか?
冷蔵庫で冷やしますよね。
なぜですか?
傷めないように鮮度を保つためです。
夏場に食材が傷みのも”熱”による影響が大きいからです。
なにも人間のタンパク質だけが特別というわけではありません。
また「冷シップでもいいですか?」と質問を受けることがありますが、冷シップは冷やしたことになりません。ヤカンに入ったお湯を冷シップで冷ますことができないように筋肉や関節など大きな部分に満ちた熱は、冷シップでは取り除けないのです。
薬剤効果でスーッとした感じは得られますが、熱を奪ったことにはなっていません。むしろ、皮膚を覆ってしまって熱を捨てられなくなることさえあります。(シップをはがす時に患部が熱っぽい感じになったことはありませんか?)
ちなみに指の節々が変形する中年女性は多いと思います。病院では“ヘバーデン結節症、ブシャール結節症”といった病名をつけられますが、これも変形性関節症の類で、やはり変形の進行には“熱”が大きく関与しています。ご経験がある方は思い出してほしいのですが、指が変形しだした当初は腫れて痛みを伴っていたはずです。その時によく指を冷やしておけば、変形は進まずに済みます。放置していると熱によって骨が浸食され指の形を変えていきます。変形しきった頃に痛みも治まりますが、その状態から元の真っすぐの指に戻すのはとても難しくなってしまいます。ですから、痛みのあるその時の処置がとても大切です。
②腰や膝の動きをスムーズにし、全身のバランスを整える
膝の痛み原因は膝だけにあるとは限りません。
膝は大腿骨とすねの骨で構成されています。
大腿骨は股関節で骨盤とつながり、すねの骨は足首とつながっています。
原因でお話ししたように、「関節のゆるみ」というのは適切な負荷をかけないことで生じます。
膝を含め関節というものは、正しい(負荷)荷重をかけることで滑らかに動くようになっています。
全然歩かない、負荷をかけない状況が続くと、各関節の支えが悪くなってしまい、骨盤から下の関節全てがゆるんでスムーズに動かなくなりバランスも取れなくなってしまうのです。(入院したことがある人は思い出して欲しいのですが、長く寝ていた状態から起き上がると、フラついて歩きにくいという経験はありませんか?)
ですから、膝が痛いからと言って負担をかけないように生活していると、かえって関節がゆるんでバランス不足や摩擦熱から変形が進んでしまう可能性があるのです。
全ての関節に言えることですが、膝関節も全身の骨とのバランスの中で動いていますので、膝の痛みは膝だけの問題と単純に捉えることはできません。
膝の回復を考えるのであれば、環境や生活習慣の中から原因を引き出すとともに、膝だけでなく全身のバランスに対するアプローチが必要です。
③使わない事で機能が低下した膝の関節機能や軟骨組織を回復させる
膝以外の腰や骨盤などの関節の安定性を図りながら「正常歩行」向けて、正しい動作の改善と膝への適切な負荷で、損傷した半月板や擦り減った軟骨を新たに形成させていきます。
箕面 健寿の森整体院の施術で
どんな効果が得られるか?
- 膝の痛みに悩まされない快適な日常生活
- 痛みを気にせずに仕事に打ち込める
- 症状の原因が明確になる
- セルフケアを覚え、自分で症状を予防できる
他とはココが違う!

箕面 健寿の森整体院と
\ 他院との8つの違い /
1.日本最大級の口コミサイトNO.1、書籍でも紹介されている優良治療院です

日本最大級の口コミサイト「エキテン」の箕面市×整体・骨盤矯正で口コミランキング1位を獲得しました。全国の優良治療院を紹介する書籍でも紹介されました。
2.当院の技術が多くの治療家に学ばれています

当院主催のセミナーで多くの治療家が参加。また当院の技術がDVDになりました。
3.有名ファッションモデルも多数来院

プロポーション維持のために多くのモデルが当院を利用しています。(写真は有名ファッションモデル神代有子さん)
4.難しい専門用語を使わずわかりやすく説明します

難しい単語を使って利用者様を困惑させることはありません。わかりやすい言葉で丁寧にご説明しますので、 ご不明点はお気軽にお申し付けください。
5.経験豊富な治療家がオーダーメイドで施術

12年で8万人の施術実績を持つ院長を筆頭に、経験豊富なベテランスタッフが施術します。高いレベルの技術を受けられます。
6.整体×骨盤矯正×身体の使い方で徹底改善

技術に幅があるため、痛みや不調の徹底改善から美容の悩みにまで、広く対応できます。※鍼なしの施術も可能です。
7.国家資格を持つ施術者だから安心・安全です

技術を学び経験を積んだ国家資格所有者が施術します。体のプロフェッショナルだから安心・安全です。
8.産後やダイエット不妊治療に特化したメニューもあります

施術者は骨盤のスペシャリスト。女性の悩みにも強いと評判です。不安やことや気になることなど、何でもお気軽にご相談ください。
繰り返すねん挫と膝の痛み、根本的な指導でねん挫は無くなりました!

何度も繰り返す右膝の捻挫で水が溜まり痛みがありました。
どこか近くで良いところを探して口コミの良かったこちらに決めて通いました。関節の仕組みや身体のつくり等も教えていただきながらみっちり施術してもらって歩き方や立ち座り方などの指導もしてもらって今では膝の違和感も全くありません。もともと強い痛みではなかったので最初は効果がよくわからなかったのですが繰り返し通ううちに良くなって来てるのを感じました。通い始めてからは1度も捻挫していません。
いつもあっという間の一時間です。あと少しで所定の回数が終わりますが時々メンテナンスしてもらうつもりです。よろしくお願いいたします。
(女性 膝の痛み)
※個人の感想であり、成果や成功を保証するものではありません
根本的に身体の痛みを良くしたい方は諦めないでください。

数年前より、腰痛があり他の整骨院や整形外科に行ったりしましたが脊柱側弯症で身体の歪みもあり痛みは仕方ないと言われていましたが、毎回を教えて頂ける身体の使い方や歩き方を実践する様になり、初めは半信半疑でしたがあんなに痛かった背中や腰がおかげさまで凄く楽になってきました。
施術も強い力でボキボキするのではなく、ソフトなので安心して受けることができました。箕面 健寿の森整体院さんに教えて頂けて本当にラッキーでした。根本的に身体の痛みを良くしたい方は諦めないで是非、箕面 健寿の森整体院にご相談されると不安が解消されると思います。
(女性 腰痛)
※個人の感想であり、成果や成功を保証するものではありません
悩んでいた股関節の痛み、身体の動かし方を学び快調です。

股関節の痛みで困っていました。
そこで、それに関する情報発信をしているインターネットのサイトなどを見ながら、自分で改善させようと色々、ストレッチなどしていました。しかし、それは難しく、実際に診てもらおうと思い、グーグルで見つけた健寿の森さんにお世話になることにしました。
良かったです!通いだして半年、股関節は痛みも取れ快調です。
そして、毎回教えていただける良い体の動かし方は、とても有り難く、それが1つずつ増えていくことが、施術と併せて楽しみでした。
今後、教えていただいたことを生活に取り入れながら、健康的に過ごしていこうと思います。この半年、有難うございました。とても楽しかったです!
(女性 股関節痛)
※個人の感想であり、成果や成功を保証するものではありません
辞めていたウォーキングも少しずつですが距離歩けるようになりました。

今年の4月に股関節の痛みが酷くなり、かじ先生の整体院にお世話になりました。
他にも色んな整体院や整骨院に通っていましたが他と確実に違うのはその場しのぎの施術では無く、施術が終了した後でも自分の力で身体を整えて行けるように指導して貰える所です。
人見知りで他人とあまりコミュニケーションを取るのが得意でない私でも、とても聞き上手な先生に色々お話を聞く事が出来て楽しく通わせて頂く事が出来ました。
痛くなったからって辞めていたウォーキングも正しい歩き方を教えてもらい少しずつですが距離を進める事も出来る様になりましたし、これからも何か有ればまたかじ先生にお世話になれるって思って心強いです。
何年もかけて壊れていった体はすぐには改善しないので先生に教えて頂いた宿題を日々こなしながら頑張りたいと思います。
(女性 股関節痛)
※個人の感想であり、成果や成功を保証するものではありません
箕面 健寿の森整体院に出会えて本当に良かったです。

箕面 健寿の森整体院に出会えて本当に良かったです。
随分以前から坐骨神経痛で痺れが出たり色々と痛みもあり、根本的に痛みを改善したくて病院を探してました。整体・接骨院、施術受診するも、あまり改善しなく、カジ先生に出会えてやっと『これ!』って思えました。
初回カウンセリングもとても丁寧でわかりやすかった事と話しやすい雰囲気だった事で安心できました。実際に施術して頂き、初めての施術方法でした。少しずつ悩みの一つ一つが改善しつつあります。
日々の歩き方座り方等、マンツーマンで教えて頂き、100歳まで自分の足で歩けて長生き出来そうです♪
是非是非、長年身体の不調で悩んでいる方にお勧めしたいです。
数年先の体調まで考えてくれている熱い先生という感じです。初めての施術方法なので、ちゃんと理解しながら痛みをとることが出来るので、カジ先生と出会えて良かったです♪
(女性 坐骨神経痛)
※個人の感想であり、成果や成功を保証するものではありません





